Blog
ブログ
10年後も後悔しないために。歯の治療費と「品質」の密接な関係医療費における生涯コストおよび適正価格と医療の質の関係
新年明けましておめでとうございます。
本年も、皆様のお口の健康を全力でサポートしてまいります。どうぞよろしくお願いいたします。
さて、今年最初のブログは、少し踏み込んだ「治療費と医療の質」についてお話しさせてください。
「自費診療は高い」「もっと安くならないの?」
そう感じられることも多いかと思います。しかし、そこには「長く安心して使い続けてほしい」という私たちの切実な想いと、見えない「技術の裏側」があります。
今回は、実際の治療ケースも交えながら、皆様の生涯を通じた健康のために知っていただきたいことをまとめました。

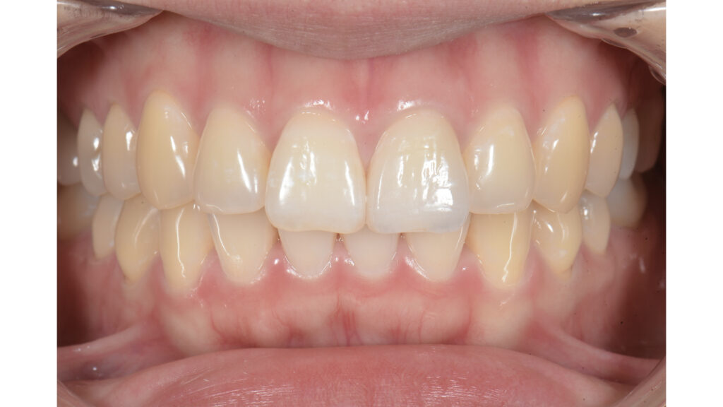
本症例は当院で数年前に装着したセラミックについて知覚過敏が断続的に続いたため、施術者である私どもの責任において無償で再治療をさせて頂いたケースとなります。
患者さんには、まずお詫びと、貴重な時間を頂き再度通院していただいた事感謝申し上げます。
そして本投稿の意図として、今後歯科治療を検討させれる皆様に知って頂きたい事があります。
結論から述べますと、国民の健康を支える歯科医療が、特に歯科技工士にとって未来のある業界でなければならない、そのためには労力に見合った医療が適正価格で施される必要があるという事です。
それは、患者さんと歯科医療従事者、双方がwin-winな関係を構築し、適正な医療を提供し続ける環境維持につながります。
つまり患者さんには、施術内容に見合った適正価格の設定にご理解頂きたいのです。
労働に対する適切な対価が提供できなければ歯科技工士業界だけでなく歯科業界全体の地盤沈下が起きてしまうかもしれない【もう一部の地域ではすでに起きている?】と、危惧しています。
次に私の考えとして、全ての人工物は機能性を追求すると美しいものができる、それは私が好きなバイクだけでなく、車や建築、身近なアイテムや、私等が日々関わる歯科も例外無いと考えています。
歯科では人工物で失った組織を補いますが、それを補綴装置【セラミック、インプラント、入れ歯等】と呼びます。主に歯科技工士が関わる補綴装置製作は、作業工程が非常に多く、とても気を使う作業なのです。

今回、例としてセラミックの写真を参考データとして出しましたが、色調や形態に対する資料を、実際のセラミックに反映させるには、歯科技工士に多くの作業時間と労力が求められます。
更に美容に配慮したセラミックは、失敗が無いよう完成物を複数個作ることもあります。
これは失敗リスクが少なく成功率が高くなる一方で、歯科技工士の作業が倍、コストも倍になります。
また、技術の進歩でデジタル化が作業効率を上げたとはいえ、そもそもデジタル化に数百万単位の投資と毎年ライセンス料がかかるなど、効率上昇とともに経費も上がっているのが現実です。
ある一定以上のレベルを必要とするオーダーメイド診療は、患者さんだけでなく医療従事者にとっても大変な仕事であると知っていただきたいのです。
近年の物価高の影響も少なくありませんし、ワークライフバランスを重要視してきている社会の価値観の変化に歯科医院としても対応しなければなりません。
一方で、歯科技工料の低価格競争による現場の疲弊、歯科技工士の高い離職率、少子高齢化と経済性に対する不安から専門学校の定員割れなどが社会問題となりつつあります。
そこで諸隈歯科医院では、歯科医療従事者がより患者さんのためにベストを尽くせるよう適正価格【フェアプライス】を設定しています。
相対的な価格は他院より高いかもしれませんが、自信を持って相応の結果を提供し、患者さんの生涯コスト【ライフサイクルコスト】の削減に貢献したいと思います。
当院では、患者様に「あの時、きちんとした治療を受けてよかった」と数年後、数十年後に思っていただけるよう、一つひとつの工程に妥協せず向き合っております。
もし、治療費や治療内容についてご不安な点があれば、初めての方へのページもご覧いただき、
いつでもお気軽にご相談ください。
皆様の将来を見据えた、最適な治療計画をご提案させていただきます。
どうぞご理解の程よろしくお願い致します。
監修者情報
諸隈歯科医院
院長・歯学博士
- 略歴
- 日本大学歯学部卒業。同大学大学院歯学研究科修了後、専修医を経て2014年より諸隈歯科医院に勤務。2017年院長就任。再生医療認定医。千葉市稲毛区黒砂にて地域診療に従事。
- 専門分野
- インプラント、補綴治療(被せ物・入れ歯)、咬み合わせ、根管治療、矯正歯科など、機能回復を重視した総合歯科治療。顕微鏡やデジタル印象などの設備体制のもと、再治療を繰り返さない治療を目指す。
- 資格・所属
- 日本顎咬合学会 咬み合わせ認定医/日本口腔インプラント学会 /日本歯内療法学会 ほか。日本再生医療学会 再生医療認定医 2016年取得。
- 診療方針
- 「できる限り歯を残すこと」「しっかり噛める状態を回復すること」「その場しのぎで終わらせないこと」を大切にしています。初診時の説明から治療後のメンテナンスまで一貫して向き合い、長期的に安定する治療計画を重視しています。
- 患者様へのメッセージ
- 本ブログでは、千葉市・西千葉・みどり台周辺で歯科医院をお探しの方を中心に、診療現場で実際に多いご相談内容をもとに、治療の選択肢やそれぞれの利点・注意点を整理しています。専門的な内容も、できるだけわかりやすく、誇張なくお伝えすることを心がけています。「本当にこの治療でよいのか」「他の方法はないのか」と迷われた際は、一人で抱え込まずご相談ください。地域のかかりつけ歯科として、丁寧な説明と納得のうえで治療を選んでいただくことを大切にしています。
