043-241-0431
Instagram youtube

Blog

再生治療口腔外科インプラント未分類

オープンバリアメンブレン for GBR

久々の治療解説です。

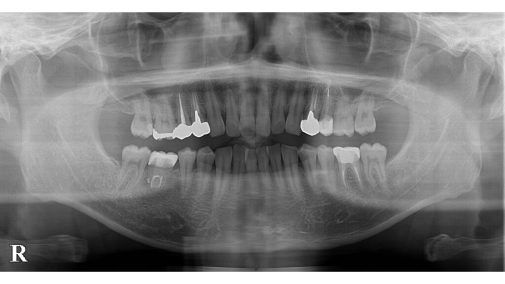
左下奥歯に違和感を訴えて来院されました。

銀歯の周囲に腫れを認めます。

歯周ポケットは深く歯根破折のため抜歯判定となりました。

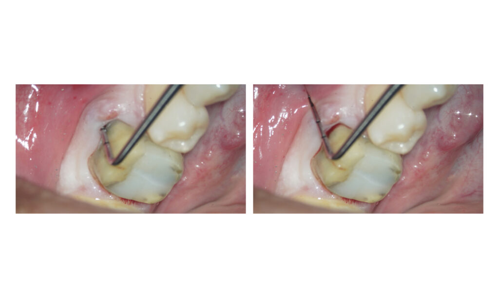
インプラント治療に向けたGBR(骨増成)およびソケットプリザベーションをCytoplast TXT-200を用いてオープンバリアメンブレンテクニックにて行いました。

メンブレン設置に向けてエンベロープ形成を事前に行なっています。

今後2週間程度でメンブレンを除去して、インプラント手術を1ヶ月後に予定しています。